Top.Mail.Ru
info@dia-m.ru 8 (800) 234-05-08
+7 (495) 745-05-08
Ваш регион Москва?

Вернуться назад

Антитела [KO Validated] ANAPC5 кроличьи, поликлональные, ABclonal, Китай

Артикул Цена, руб. Наличие на складе Количество
A7109.20ul 20 мкл По запросу Под заказ
Артикул Цена, руб. Наличие на складе Количество
A7109.50ul 50 мкл По запросу Под заказ
Артикул Цена, руб. Наличие на складе Количество
A7109.100ul 100 мкл По запросу Под заказ
Артикул Цена, руб. Наличие на складе Количество
A7109.200ul 200 мкл По запросу Под заказ

Описание

Оплата и доставка

Этот ген кодирует содержащий тетратрикопептидный повтор компонент комплекса, стимулирующего анафазу/циклосому (APC/C), крупную убиквитинлигазу E3, которая контролирует прогрессирование клеточного цикла путем нацеливания на ряд регуляторов клеточного цикла, таких как циклины B-типа для протеасомы 26S. опосредованная деградация через убиквитинирование. Кодируемый белок необходим для правильной убиквитинирующей функции APC/C и для взаимодействия APC/C с коактиваторами транскрипции. Он также взаимодействует с полиА-связывающим белком и подавляет трансляцию, опосредованную внутренним сайтом посадки рибосомы. Для этого гена было обнаружено несколько вариантов транскриптов, кодирующих разные изоформы. Эти различия вызывают инициацию трансляции в нижестоящей AUG и приводят к более короткому белку (изоформа b) по сравнению с изоформой a.

Характеристики антител ANAPC5

  • Видовая специфичность – человек, мышь, крыса;
  • применение – WB, IHC, IP;
  • условия транспортировки, °C – +2-8;
  • условия хранения, °C – - 20 (в виде аликвот).
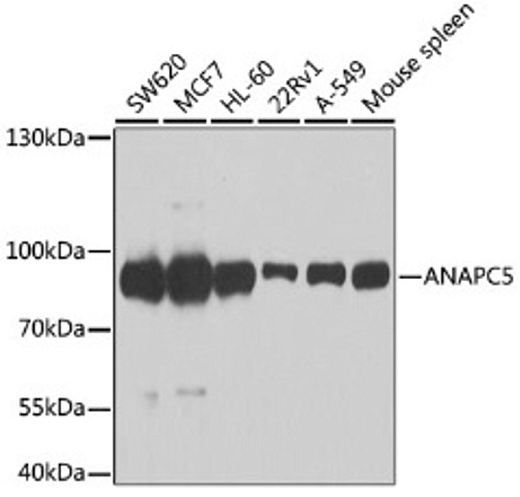
Вестерн-блот анализ экстрактов различных клеточных линий с использованием антитела ANAPC5 (A7109) в разведении 1:1000.

Вестерн-блот анализ экстрактов различных клеточных линий с использованием антитела ANAPC5 (A7109) в разведении 1:1000.

Вторичное антитело: HRP Goat Anti-Rabbit IgG (H+L) (AS014) в разведении 1:10000.

Лизаты/белки: 25 мкг на дорожку.

Блокирующий буфер: 3% обезжиренное сухое молоко в TBST.

Обнаружение: базовый комплект ECL (RM00020).

Время экспозиции: 90 c.

Антитела [KO Validated] ANAPC5 кроличьи, поликлональные

Вестерн-блот-анализ экстрактов нормальных (контрольных) и клеток с нокаутом ANAPC5 (KO) 293T с использованием антитела ANAPC5 (A7109) в разведении 1:1000.

Вторичное антитело: HRP Goat Anti-Rabbit IgG (H+L) (AS014) в разведении 1:10000.

Лизаты/белки: 25 мкг на дорожку.

Блокирующий буфер: 3% обезжиренное сухое молоко в TBST.

Обнаружение: базовый комплект ECL (RM00020).

Время экспозиции: 30 с.


Публикации:

Comprehensive nucleosome interactome screen establishes fundamental principles of nucleosome binding

Application:WB


Раскрыть описание

Доставка по Москве

Доставка осуществляется по всей России и странам СНГ. Возможен самовывоз со склада по адресу Московская область, г. Мытищи, 7-й Ленинский переулок, д.13. Доставка по Москве и Московской области осуществляется бесплатно.

Цена товара указана со склада в Москве и не включает расходы на доставку в другие города.

Вы можете выбрать способ доставки в личном кабинете, чтобы он автоматически указывался при оформлении всех последующих заказов. При выборе варианта «Транспортная компания по выбору клиента» укажите в комментариях транспортную компанию, с которой вы предпочитаете работать.

Точная стоимость доставки рассчитывается менеджером при подтверждении заказа в зависимости от весообъемных характеристик и дальности. Товары, требующие особого температурного режима, доставляются с соблюдением требуемых условий. Если в заказе есть прекурсоры, необходимо оформить официальное письмо об отпуске прекурсоров. (образец письма об отпуске прекурсоров)


Оплата

Компания Диаэм работает с юридическими и физическими лицами. После оформления заказа продавец-консультант сформирует счет и направит его вам по электронной почте и на страницу заказа в Личном кабинете на сайте. Вы также можете сами сформировать счет из Корзины, авторизовавшись на сайте. Счет оплачивается через банк. Вы можете оплатить товар в кассе Диаэм или любом отделении банка.

Для получения товара необходимо предоставление доверенности организации, а для получения товара при оплате физическим лицом необходим паспорт.

Раскрыть анкету для отправки запроса

Похожие товары
100 139 руб.
По запросу
PA550580
Нет в наличии
PA550580ду
В наличии
70 953 руб.
СПЕЦЦЕНА
32 970 руб.
ARG51850.50
Нет в наличии
ARG51850.100
Нет в наличии
По запросу
По запросу
ARG54710.50
Нет в наличии
ARG54710.100
Нет в наличии
65 382 руб.
93 504 руб.
Ваш заказ будет обработан
в ближайшее время.
Мы пришлем уведомление, как только все будет готово. Спасибо!